Ольга Бойчук, засновниця клініки Boichuk Clinic
Категория
BrandVoice
Дата

На лікування до неї приїздять вся Україна і пацієнти з Європи. Ольга Бойчук, дитяча стоматологиня, що започаткувала власну методику лікування молочних зубів

3 хв читання

Ольга Бойчук, дитяча стоматологиня, засновниця клініки Boichuk Clinic

У 2018-му Ольга Бойчук із чоловіком відкрила свій перший стоматологічний кабінет у Кременчуці. З часом вона розробила власну методику лікування молочних зубів, яку описує так: «Роблю реставрації, що не відпадають». Сьогодні Ольга не лише лікує, а ще й проводить спеціалізовані курси для колег в Україні та за кордоном, які збирають понад 100 слухачів. Про новий підхід у дитячій стоматології – в інтерв’ю Ольги Бойчук Forbes BrandVoice. 

Розкажіть, будь ласка, детальніше про ваш вибір професії. Чому обрали саме стоматологію?  

Після закінчення школи я не знала, ким хочу бути, тож вибір за мене зробили батьки. Я вступила до Полтавського державного медичного університету на факультет стоматології та вже з третього курсу почала працювати. Навчання в інтернатурі я поєднувала з роботою в поліклініці в Кременчуці, але розуміла, що хочу заробляти більше. 

Ми з чоловіком відкладали гроші з зарплат і таким чином зібрали $4000 – закупили обладнання й відкрили стоматологічний кабінет Dental studio. На той час в Україні дитяча стоматологія була не розвинена, тим паче у Кременчуці. Тож ми вирішили зробити акцент саме на маленьких пацієнтах: повісили великий банер на фасаді клініки «Ми не боїмося вередливих дітей» – і до нас пішли батьки з малюками, за день у нас було по 7–10 пацієнтів. Пізніше ми також почали лікувати під седацією, залучили до команди анестезіолога. У 2021-му купили власне приміщення на 300 кв. м і заснували Boichuk Clinic

Boichuk Clinic

У 2021-му Ольга Бойчук із чоловіком купили власне приміщення на 300 кв. м і заснували Boichuk Clinic.

Boichuk Clinic

У 2021-му Ольга Бойчук із чоловіком купили власне приміщення на 300 кв. м і заснували Boichuk Clinic.

Предыдущий слайд
Следующий слайд

Який у вас наразі середній чек та якого віку пацієнти? 

Я завжди кажу: що швидше батьки прийдуть на лікування, то дешевшим воно буде. Найнижчий чек у нас на профілактику карієсу, така процедура коштує від 2000 грн. Лікування складних клінічних випадків може досягати 18 000 грн за один молочний зуб. 

Найменшому нашому пацієнту був приблизно рік, але переважно лікуємо малечу трьох-чотирьох років. Це діти з усієї України та навіть з-за кордону, пацієнтів з Кременчука лише 20%. 

В Європі лікарі вважають, що молочні зуби лікувати не потрібно, їх просто видаляють. Тому багато українців, які нині мешкають за кордоном, приїжджають до нас на лікування. Записуватися потрібно десь за місяць, але батьки знають: у Boichuk Clinic зуби дитини полікують так, що більше до цього питання повертатися не доведеться.

Як відбувається процес лікування? З чого він починається? 

Ми беремо дитину на лікування лише після консультації з батьками. Зазвичай вона займає одну годину, під час цієї розмови ми розказуємо батькам план лікування та узгоджуємо його. Як правило, це відбувається в онлайн-режимі. 

З приводу безпосередньо процесу лікування. Якщо дитина готова комунікувати зі стоматологом, ми тільки знеболюємо зуб і проводимо лікування при тямі. Якщо ж лікування більш об’ємне й потребує видалення зуба або дитина через вікові особливості не готова комунікувати зі стоматологом, то, звичайно, таких пацієнтів ми лікуємо під медичним сном. Під час усього процесу анестезіолог контролює стан дитини. 

Чи існують станом на сьогодні саме «дитячі» протоколи лікування у стоматології? Чим дорослий стоматолог узагалі відрізняється від дитячого? 

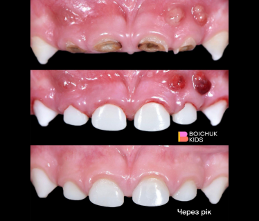
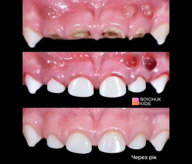
Дорослий стоматолог знає, як лікувати постійні зуби, а дитячий – молочні. В інституті я отримала базу як дорослий стоматолог. Щоб дізнатися більше саме про дитячу стоматологію, пройшла кілька курсів в Україні. З часом я прийшла до того, щоб створити власну методику лікування дитячих зубів. Пацієнти, які отримали медичну допомогу за моїм протоколом, зберігають молочні зуби до їхньої фізіологічної зміни. Тому я вважаю свій продукт унікальним. 

Boichuk Clinic

Ольга Бойчук розробила власну методику лікування молочних зубів.

Boichuk Clinic

Пацієнти, які отримали медичну допомогу за протоколом Ольги Бойчук, зберігають молочні зуби до їхньої фізіологічної зміни.

Boichuk Clinic

У Boichuk Clinic зуби дитини полікують так, що більше до цього питання повертатися не доведеться.

Boichuk Clinic

Що швидше батьки прийдуть на лікування, то дешевшим воно буде.

Предыдущий слайд
Следующий слайд

Як виникла ідея навчати інших дитячих стоматологів?

Пропрацювавши рік у дитячій стоматології, я вже мала, чим поділитись із колегами. Проте перший публічний виступ в одному з медичних центрів Києва не приніс подальшого розвитку мого курсу. Директор того центру, на жаль, із недовірою поставився до молодої дівчини з Кременчука. Але мене це не зупинило. 

За два тижні після першої спроби я опублікувала пост у Facebook, де запросила лікарів прослухати мою офлайн-лекцію у Запоріжжі. До мене прийшло близько 50 фахівців, які в захваті знімали на телефон усю презентацію. Після цього я почала проводити подібні заходи щороку по всій країні, збирала зали по 80–100 лікарів. Під час пандемії створила два курси «Дзен 1.0» і «Дзен 2.0», де навчалося близько 300 лікарів. Ця ситуація стала прикладом для мене і головним слоганом по життю:

«Йди до своєї мрії і цілі, незважаючи на думки і коментарі інших».

Коли буде наступний захід? 

30 березня відбудеться офлайн-навчання для дитячих стоматологів. Це буде зустріч на цілий день – я хочу вмістити в цей захід максимум інформації і протоколів. 

Узагалі, моє головне правило організації навчання – дати набагато більше, ніж від мене очікують лікарі. Вартість навчання становитиме 12 000 грн. 

Дайте поради, як відрізнити професійного дитячого стоматолога від посереднього?

Дуже важливо, щоб лікар працював за протоколами. Обовʼязково попросіть фото робіт фахівця. Вважливо, щоб лікар давав гарантію на свою роботу. 

Ми з батьками наших маленьких пацієнтів усе це проговорюємо ще на початку лікування, тож це допомагає залишатися в дружніх відносинах і після нього. Я впевнена: всі діти, які приходять до нас, повинні йти додому щасливими.

Вы нашли ошибку или неточность?

Оставьте отзыв для редакции. Мы учтем ваши замечания как можно скорее.

П'ятий випуск 2025 року вже у передпродажу

Замовляйте з безкоштовною доставкою по Україні